Brain tumor
Decades ago, diagnosing and treating brain tumors were with great difficulties. With advancing imaging and microsurgical techniques, many brain tumors can be nowadays diagnosed at an early time, so as to increase the cure rate for treating brain cancer.
Brain tumors can be subdivided into non-cancerous benign tumor and malignant cancerous tumor.
If a tumor is originated within brain compartment, it is called primary brain tumor. If a tumor was spread from other parts of the body and go to the brain, it is called secondary brain tumor. Some types of cancer, i.e. lung cancer and breast cancer are more likely to spread to the brain.
As long as those benign brain tumors can be treated by surgery in time, they generally do not pose a threat to life. Though sometimes tumor cells remain after surgery may grow again, this type of recurrent benign tumors can again be surgically removed. If benign brain tumors grows at inappropriate locations or if they are big in size, they may be life-threatening. For malignant brain tumor, though rarely spread to other parts of the body, they may penetrate into the surrounding normal brain tissue and pose a threat to life.
There are more than 40 types of brain tumor, can be grossly divided into two main categories, namely benign and malignant tumors.
Benign tumor
- Mostly slow-growing cells
- Seldom spread to other parts of body
- Common types: meningiomas, neuromas, pituitary tumor, craniopharyngioma tumors
Malignant tumors
- Cancer cells may spread to other parts of the brain or spinal cord. In process of continuous growth, these tumors may invade and put pressure on nearby brain tissue, resulting in life-threatening situations.
- Among different types of malignancies, speed of tumor growth and their response to treatments can be very different
- Some cancer cells are limited to a particular region. Some cancer cells may extend to nearby body tissue
- The tumors are usually named based on the primary cells that they arise from.
- Common types: astrocytic tumors, glioblastoma dendritic, ependymal cells and mixed glial cell tumors
Hydrocephalus
Brain fluid (cerebrospinal fluid) is contained within brain cavities and flow through narrow corridor at some regions. If brain tumor blocks the flow of brain fluid, there will be increase in hydraulic pressure and will put pressure on the brain; may resulting in cerebral edema or brain swelling.
Causes of brain tumor
What cause of brain cancer is still remains unclear. However, the following factors may contribute:
- Age: patients of any age may suffer from brain tumors, but those with age more than 40 are at higher risk; the onset time of pediatric brain cancer is generally between the ages of 3 to 12.
- Sex: slight male prevalence is noted.
- Family history: gliomas happened within the family members had been reported.
- Carcinogenic substances exposure: radiation exposure, chlorine, formaldehyde, ethylene and propylene exposure, etc. had been reported.
However many patients were without any of the above listed risk factors.
Staging for brain tumor
Brain tumors are categorized into four stages depending on their rate of growth as well as their ability to invade nearby tissue.
- The first and the second stage: Very slow tumor growth
- Third stage: At a moderate speed of growth
- Fourth stage: Speedy growth and prone to invade nearby tissue.
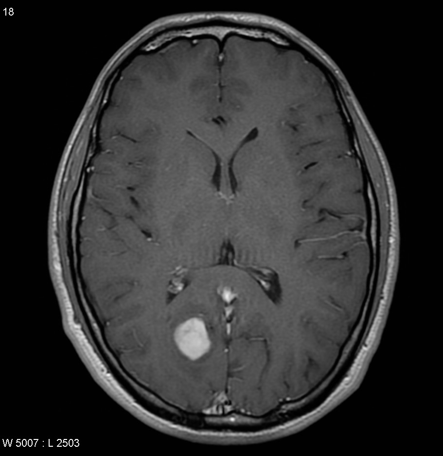
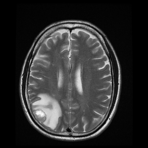
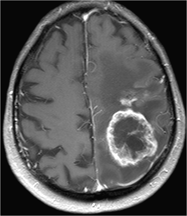
Patients with brain tumors may complain symptoms of headache, dizziness, vomiting, blurred vision, limbs weakness, etc.. Other symptoms include seizures and endocrine disorders; Personality or behavior changes may also occur. With modern advances in brain imaging technology, Computerized Tomography (CT) scan and magnetic resonance imaging (MRI) are the most commonly used diagnostic tools.
MRI does not involve radiation risk. Patients are required to lie inside the scanner with a strong magnetic field. Patients will not feel pain during the scanning process. MRI images can be achieved in a number of different angles and through a variety of different “signals”, so as to letting us to explore more about the tumors’ nature, thus allowing neurosurgeons making the most appropriate treatment plan for patients.
Nowadays the microsurgery techniques allow neurosurgeons to perform minimally invasive brain surgery in a more secured environment. Under normal circumstances, patients often do not need to shave off bold for undergoing a brain surgery. Postoperative recovery time is also much shortened. For certain types of tumors, such as acoustic neuroma, non-surgical methods such as radiosurgery treatment is also available to be an effective and yet reliable treatment options carries only few side effects.

